O nosso conjunto Vascular disponibiliza ferramentas de intervenção vascular dedicadas e dispositivos vasculares avançados para suportar elevados níveis de normalização e redefinir os resultados para os seus pacientes com PAD. Estes suportam cada passo do procedimento, à medida que decide, orienta, trata e confirma os resultados do tratamento.

As nossas soluções de sala de operações híbrida Azurion proporcionam um ambiente de cuidados cirúrgicos inovador que oferece uma excecional flexibilidade processual e facilidade de utilização, ao mesmo tempo que cumprem os mais elevados padrões de controlo e higiene de infeções cirúrgicas. O sistema montado no teto proporciona uma flexibilidade de imagem ilimitada para diversos procedimentos e uma excecional liberdade de posicionamento para as equipas médicas. O utilizador obtém tudo isto numa configuração compacta, proporcionando um ambiente altamente eficaz em termos de custos preparado para os procedimentos do futuro. Ao trabalhar à sua volta, o Philips Azurion com FlexArm ajuda-o a otimizar o desempenho e a proporcionar cuidados de saúde superiores.

Os nossos cateteres de imagem periférica ajudam a avaliar a localização da doença e a morfologia da lesão, incluindo cálcio e trombos. A IVUS também pode ser usada para o dimensionamento adequado dos stents e para confirmar a conclusão do tratamento.

Os nossos dispositivos periféricos de aterectomia são ferramentas excelentes para remover bloqueios da corrente sanguínea. Os nossos produtos não laser funcionam como dispositivos autónomos que não têm de ser emparelhados com outros sistemas.

O portefólio adaptável da Philips de produtos e tecnologias vasculares periféricos ajuda os médicos a avaliar de forma rápida e precisa os pacientes com problemas vasculares periféricos e a preparar os vasos para a administração precisa de um tratamento ideal.

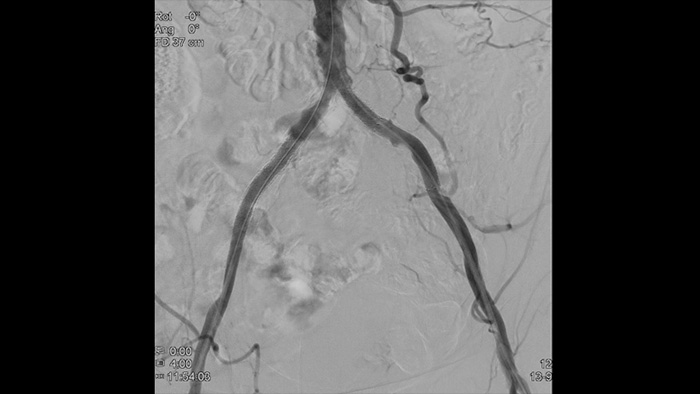
Imagens de alta definição de vasos com detalhes vasculares superiores para apoiar estratégias de tratamento, navegação e acompanhamento precisas.
Soluções para procedimentos aórticos oferecidas pela terapia guiada por imagens da Philips.
Clique aqui para ler maisSoluções para procedimentos venosos oferecidas pela terapia guiada por imagens da Philips.
Clique aqui para ler mais Isenção de responsabilidade A disponibilidade do produto está sujeita a autorização regulamentar do país. Contacte o seu representante de vendas local para verificar a disponibilidade no seu país. Referências * Os resultados dos estudos de caso não são preditivos de resultados noutros casos. Os resultados noutros casos podem variar.
You are about to visit a Philips global content page
Continue