
Tem muito a arriscar, clínica e economicamente. Acelere a eficiência clínica com inovadoras ofertas de ecocardiografia que contribuem mais para ajudar as equipas de prestação de cuidados a trabalharem de forma mais inteligente, antes, durante e após os procedimentos.
Veja como a inteligência da Philips está a permitir que as equipas de prestação de cuidados trabalhem com maior eficiência ao longo da ecocardiografia desde o momento em que um médico solicita o exame até à conclusão, faturação e encaminhamento do estudo.
Parece tão simples, mas sabemos pelo que os médicos passam todos os dias – querem tempo de qualidade com os seus pacientes, mas sentem-se sobrecarregados e esgotados devido à falta de eficiência geral e às tarefas administrativas.
Existe uma grande necessidade de mudança. É tempo de mudar, agora.
Estamos aqui para si, para o ajudar a obter as informações de que precisa para ter uma visão completa da condição dos seus pacientes, de forma clara e rápida, permitindo tomar decisões precisas e personalizadas com as nossas ofertas de fluxo de trabalho de ecografia.

Avaliação dos benefícios da solução de fluxo de trabalho de ecografia: resultados de um estudo Delphi de dois passos.
Este estudo avalia os benefícios clínicos, operacionais e económicos da oferta de fluxo de trabalho de ecografia. O consenso foi unânime em relação ao facto de a oferta poder melhorar o acesso a dados completos e longitudinais necessários para a tomada de decisões relativamente ao cuidados dos pacientes; pode levar a uma maior consistência dos relatórios, à reprodutibilidade das medições e à comparabilidade; pode ajudar a melhorar a colaboração na organização do utilizador; pode ajudar a poupar tempo no tempo de execução dos relatórios e a melhorar o tempo de deteção e/ou diagnóstico.
"Esta solução ajuda com a plasticidade do fluxo de trabalho: sendo flexível e adaptável."
Saiba mais sobre a forma como as nossas soluções de diagnóstico clinicamente inteligentes ajudam a otimizar os fluxos de trabalho e proporcionam informações práticas que aumentam a confiança e a eficiência clínicas, sem cedências.

Otimize o fluxo de trabalho de ecocardiografia em toda a sua organização com o Philips Ultrasound Workspace. Construído com base no legado da plataforma TOMTEC ARENA, permite uma maior eficiência na visualização, análise e criação de relatórios, dando às equipas de prestação de cuidados a flexibilidade de adotar diferentes fluxos de trabalho com base nas suas necessidades atuais e futuras.
O IntelliSpace Cardiovascular foi concebido para ajudar a simplificar o fluxo de trabalho e a melhorar o desempenho operacional em todo o continuum de cuidados cardiovasculares.

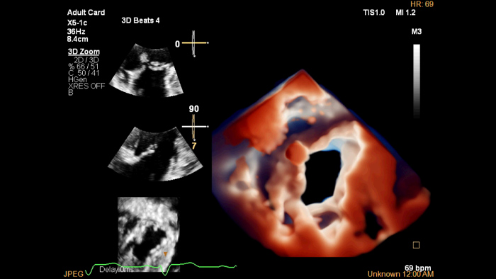
O EPIQ CVX é uma solução de sistemas de ultrassons específica para cardiologia que apresenta avanços significativos em termos de funcionalidade. Ajuda-o a prestar melhores cuidados através de um maior poder de processamento, imagiologia excecional com maior clareza e nitidez e eficiência melhorada dos exames, complementadas pelas capacidades de quantificação comprovadas e robustas do Ultrasound Workspace.

O sistema de ultrassons Philips Affiniti CVX é uma solução cardiovascular dedicada concebida para satisfazer as exigências diárias da cardiologia, ajudando-o a prestar melhores cuidados a mais pacientes.
Veja como o Dr. Saloux, cardiologista do CHU de Caen na Normandia, França, utiliza o Collaboration Live para permitir o acesso aos cuidados através da telemedicina com ultrassons, consultando remotamente os colegas dos departamentos de cardiologia em hospitais satélite na Normandia, França, transformando a prestação de cuidados de saúde.
Faça avançar o seu programa de ecocardiografia para o seu potencial máximo. Consulte hoje mesmo um representante de vendas da Philips Healthcare.
Obtenha diagnósticos fiáveis de forma mais eficiente com os produtos e serviços de imagens cardíacas integrados, concebidos para ajudar as equipas de prestação de cuidados a trabalhar de forma mais eficaz ao longo do processo de cuidados aos pacientes.

Explore as soluções de cardiologia da Philips, concebidas para reforçar a confiança clínica, aumentar a eficiência ao longo do processo de cuidados e melhorar as experiências de cuidados cardíacos.
You are about to visit a Philips global content page
Continue