
Chefe de RM cardíaca/Diretor MRI Core LAD para o Centro de Coração Alemão de Berlim e a Charite University Medicine Berlin, Alemanha
Professor de RM cardíaca,

Professor Associado de Medicina interna, para a LSU Health New Orleans, EUA
Professor Associado de Radiologia clínica,
Reforço da confiança clínica e da eficiência da imagiologia cardíaca Neste webinar, o Prof. Sebastian Kelle e o Prof. Raman Danrad partilham as suas experiências na utilização de um sistema de RM de 1,5 T e TAC espectral para melhorar a imagiologia cardíaca. Discutem também as perspetivas sobre o impacto atual da COVID-19 e falam sobre a nova orientação clínica para a gestão da doença na sua fase pós-aguda.

Os diagnósticos tradicionais não têm a visibilidade necessária para ver os efeitos do tratamento cardíaco ou para detetar disfunção antes que os sintomas ocorram. Ao combinar a sequência de aquisição de RM da Philips Fast-SENC com a ferramenta de análise MyoStrain da Myocardial Solutions, as alterações precoces e subtis da função cardíaca podem ser medidas diretamente.

Ao combinar o smart-sync2 desenvolvido pela NORTHH MEDICAL, um ecógrafo Doppler compatível com RM, com um sistema de RM da Philips, tornamos possível a RM cardíaca fetal pré-natal para fornecer informações de diagnóstico adicionais que podem ajudar no diagnóstico de defeito cardíaco congênito fetal, caso a ecocardiografia seja inconclusiva.
Para saber mais sobre o smart-sync e saber o que os nossos clientes pensam, clique aqui.

Devido ao design do íman BlueSeal, existe uma transferência de energia insignificante da bobina de gradiente para o íman. Isto permite manter uma estabilidade B0 perfeita nas horas extraordinárias, o que é especialmente benéfico para aquisições sensíveis B0, como sequências bTFE cardíacas.

O IntelliSpace Portal oferece um abrangente conjunto de RM cardíaca, fornecendo fluxos de trabalho dedicados para análise funcional, viabilidade, LGE, avaliação do mapeamento cardíaco e análise funcional do VD/VE em menos de 5 min. por caso3.

A adição do Compressed SENSE aos seus exames cardíacos reduz o tempo despendido no equipamento de RM para o paciente e permite a redução dos tempos de suspensão da respiração, mantendo simultaneamente uma qualidade de imagem praticamente igual6. O Compressed SENSE é aplicável a aquisições tanto 2D como 3D.

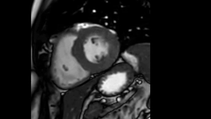
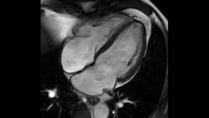
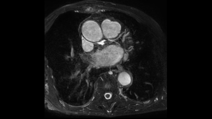
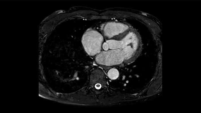
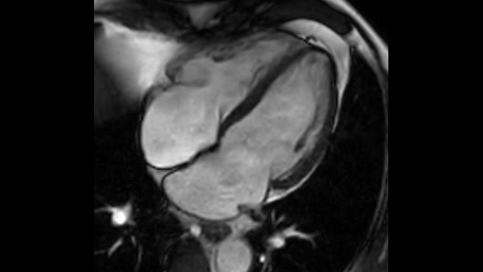
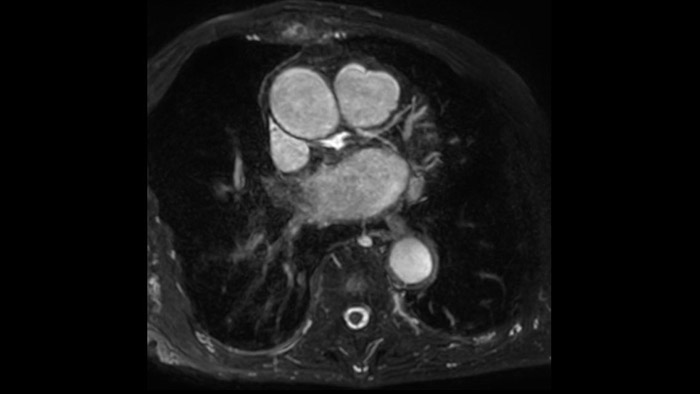
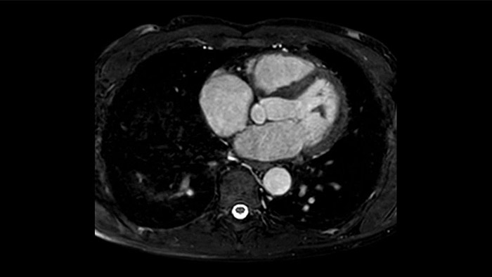
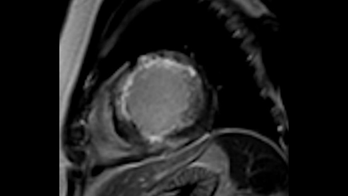
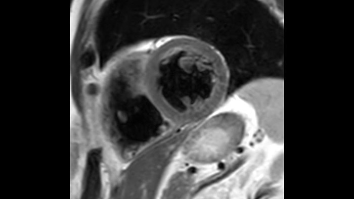
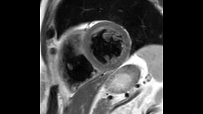
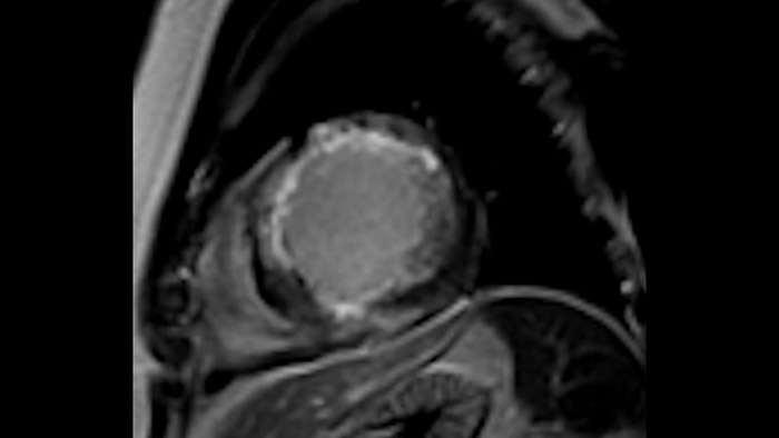
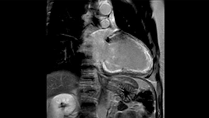
A utilidade do diagnóstico e prognóstico da RM cardíaca está a aumentar. Avalie a anatomia e função do coração utilizando aquisições cine, adquira informações sobre a perfusão e viabilidade do tecido cardíaco, visualize potenciais edemas com sequência de sangue escuro, aceda e quantifique mesmo a caracterização do tecido com a CardiacQuant.

Além de orientação na colocação da bobina, o VitalScreen também oferece a possibilidade de ver o sinal de ECG já na sala do equipamento de RM. Ao realizar um exame de perfusão em esforço, não é necessário sair da sala do equipamento de RM para monitorizar a frequência cardíaca.

Os exames cardíacos contêm muitos comandos de suspensão da respiração. O AutoVoice elimina estas tarefas repetitivas para o técnico de RM. Em combinação com o VitalEye, os comandos de suspensão da respiração são ativados dentro do ciclo respiratório natural do paciente, proporcionando uma qualidade de imagem superior4 e uma melhor experiência do paciente.

Os pacemakers não constituem uma contraindicação difícil para a rejeição de modo normal; existem muitos pacemakers condicionados para RM. O ScanWise Implant5 oferece uma orientação passo a passo para introduzir valores da condição do fabricante do implante e aplicar automaticamente estes valores a todo o exame. Simplificar o seu processo de exame para pacientes com implantes condicionados para RM.

O In-Bore Connect proporciona informações e orientação em tempo real ao paciente durante o exame, melhorando a conformidade. Uma barra de progresso personalizada indica a duração e as informações sobre o progresso do exame, enquanto os auscultadores confortáveis permitem que os pacientes recebam indicações de suspensão da respiração. Uma experiência de vídeo envolvente distrai e entretém os pacientes enquanto estão deitados no tubo do sistema de RM.

Como os pacientes cardíacos estão geralmente bastante doentes, é ainda mais importante criar uma proximidade adequada dos pacientes. As soluções Ambient Experience constituem uma abordagem holística, proporcionando uma experiência envolvente e multissensorial. Os pacientes podem personalizar a sala de exame de RM com iluminação dinâmica, projeção e sons. Isto cria uma distração positiva e reduz o stress.

Ofereça uma experiência de mesa confortável aos seus pacientes graças ao colchão ComfortPlus. Uma média de 90% dos pacientes com desconforto grave considera ser fácil ficar deitados imóveis no colchão ComfortPlus durante o exame. As imagens clínicas obtidas utilizando o colchão ComfortPlus são de qualidade de diagnóstico igualmente elevada às adquiridas com um colchão de mesa padrão.

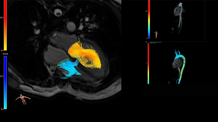
IntelliSpace Portal MR Caas7,8 A solução de pós-processamento 4D Flow permite a geração de reconstruções de volume 3D, para visualizar e avaliar o fluxo sanguíneo em estruturas cardiovasculares, incluindo válvulas cardíacas, câmaras e vasos, com base nas imagens de RM 4D Flow cardiovascular.

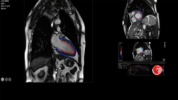
O IntelliSpace Portal MR Caas7,8 Strain9 ajuda no diagnóstico e monitorização do paciente ao proporcionar parâmetros globais de deformação, tais como deformação longitudinal global (GLS), deformação circunferencial global (GCS) e deformação radial global (GRS), utilizando imagens de RM de eixo curto e longo, bem como descrevendo a deformação do miocárdio, como encurtamento, espessamento e alongamento durante o ciclo cardíaco.

Casos clínicos de praticamente todas as anatomias Explore mais de 100 casos clínicos dos seus colegas de todo o mundo, que demonstram como a tecnologia digital de RM da Philips reforça as suas necessidades de imagiologia.
You are about to visit a Philips global content page
Continue