
Procedimento habitual de tomografia Uma única aquisição permite obter dados rápidos, de baixa dose, convencionais e espectrais, em qualquer paciente, a qualquer momento.

Permanentemente disponível 100% espectral, 100% do tempo, com resultados permanentemente disponíveis, a pedido, mesmo retrospetivamente.

Redução do número de exames de seguimento Uma melhor caracterização dos tecidos poderá reduzir a necessidade de novos estudos follow-up no caso de exames incompletos ou inconclusivos.

Adequada a diversos tipos de pacientes Pode utilizar-se numa vasta gama de pacientes, desde a pediatria à bariatria.
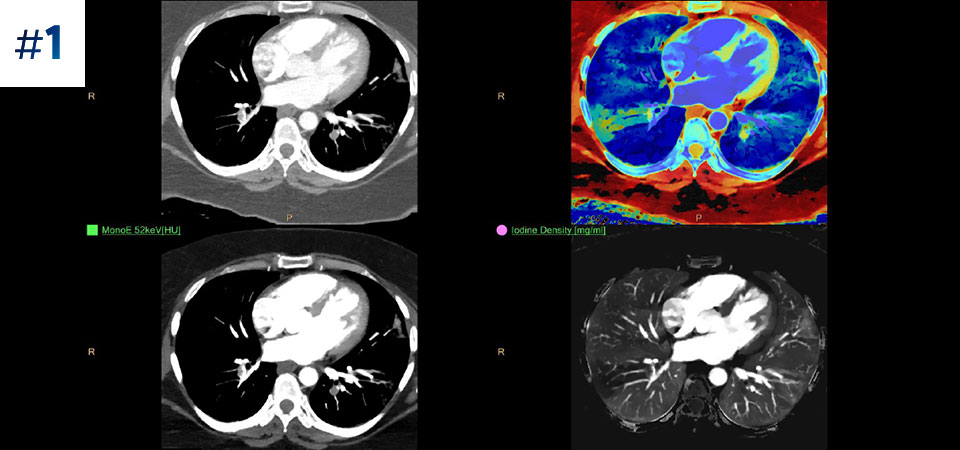
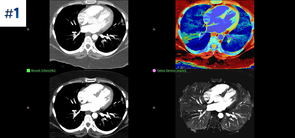
Vá além da CT convencional. Veja de que forma os vários tipos de resultados obtidos com deteção espectral podem aumentar a fiabilidade do seu diagnóstico.
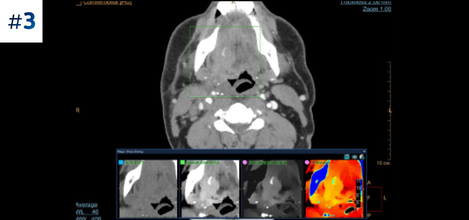
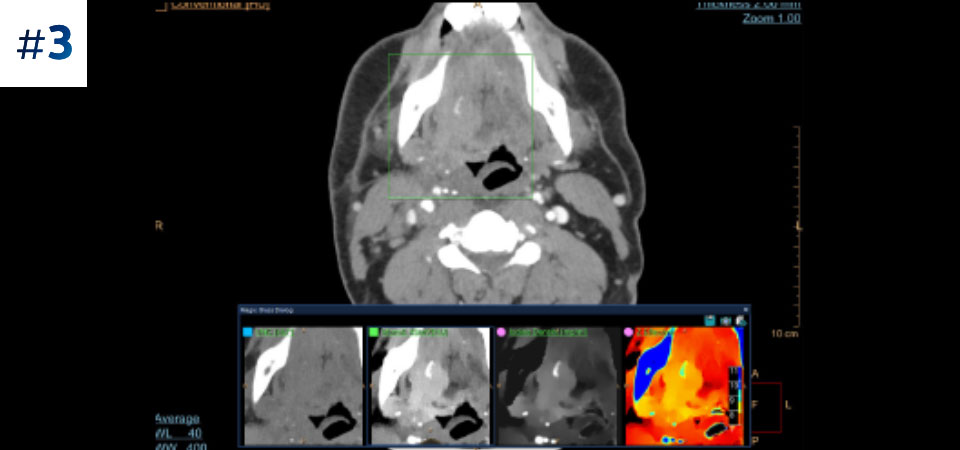
Massa do pescoço
Verifique aqui as suas respostas.
A nossa CT com detetor espectral da Philips permite obter dados convencionais e espectrais numa única aquisição, sem qualquer alteração do nosso atual fluxo de trabalho.
Dr. Charles White
Professor de medicina pulmonar e cuidados intensivos na Universidade de Maryland

Conheça a diferença entre a CT com detetor espectral e a CT convencional

Fique a conhecer melhor as vantagens da CT com detetor espectral

Reviva o ambiente da cimeira virtual de CT espectral da Philips realizada em 2020

Descubra todas as soluções de CT
You are about to visit a Philips global content page
Continue