Soluções concebidas para o ajudar a tomar decisões confiantes mesmo em casos tecnicamente difíceis e oferecer aos seus pacientes opções de tratamento inovadoras.
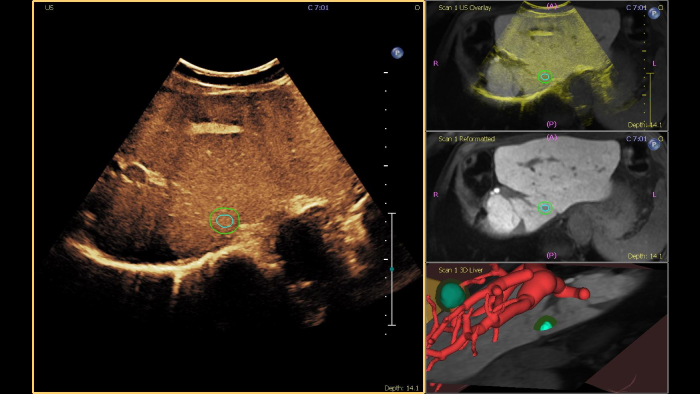
Os ecógrafos da Philips para a radiologia de intervenção suportam uma gama de capacidades sofisticadas para aplicações de intervenção. O fluxo de trabalho otimizado permite aos médicos alcançar uma fusão rápida e eficaz de TAC/RM/PET/CBCT com ecografia em tempo real, enquanto a navegação da agulha ajuda a orientar a biópsia e a ablação das lesões pequenas e de difícil acesso. A fusão e a navegação também podem ser utilizadas em conjunto com a ecografia com realce por contraste (CEUS), dando aos médicos acesso a ferramentas de diagnóstico ainda mais poderosas com visualização avançada.



O sistema de fusão de imagens e navegação da Philips tem sido extremamente valioso para nós. Os casos que normalmente realizamos com a orientação por TAC-fluoroscópica são agora realizados rotineiramente no conjunto IR. Isto melhorou o fluxo de trabalho ao reduzir a necessidade de encontrar tempo no nosso movimentado equipamento de TAC. Também reduziu a exposição à radiação para o paciente, pessoal e operador."
Ezana M. Azene, MD., Ph.D.
Radiologista vascular e de intervenção, Gundersen Health System, La Crosse, WI
A fusão e navegação dos ecógrafos da Philips podem ajudá-lo a cumprir os seus objetivos operacionais e de cuidados de saúde do paciente em procedimentos intervencionistas.

Resultados com base num ensaio de centro único, prospetivo, aleatorizado e controlado de 50 pessoas; os resultados individuais podem variar.
Kim E, Patel RS, Fischman AM, Nowakowski S, Lookstein RA. CT-Guided Liver Biopsy With Electromagnetic Tracking: Results From a Single-Center Prospective Randomized Controlled Trial. AJR 2014; 203:W715–W723.
O guia de biópsia CIVCO Verza pode ser ligado diretamente ao transdutor, sem suporte externo, permitindo a orientação da agulha com uma área cega mínima. Os sensores eletromagnéticos incorporados proporcionam uma solução ergonómica para fusão e navegação, não sendo necessários acessórios de acompanhamento externos.
Este transdutor ergonómico de dimensões reduzidas foi especialmente concebido para a orientação do procedimento por ultrassom, para permitir a imagiologia em espaços intercostais apertados, ajudar a reduzir o sombreamento das costelas nas imagens, bem como proporcionar uma abordagem mais direta da agulha para os procedimentos.


Ganhe mais tempo para se concentrar no procedimento que se segue e despende menos tempo a realizar o registo necessário para a fusão precisa.
Obtenha um alinhamento bem-sucedido dos volumes de TAC ou RM com a ecografia em <1 minuto para a caracterização eficaz das lesões. O registo de duas modalidades de imagiologia através de métodos convencionais pode ser demorado e tecnicamente difícil, demorando frequentemente até 10 minutos para alcançar uma fusão bem-sucedida.

Auto Registration simplifies fusion imaging so that more time can be spent evaluating pathology while optimizing the patient experience."
Andrew McNeill, Consultant Radiologist
Freeman Hospital NHS, UK
Esta ferramenta semiautomatizada ajuda a delinear um contorno 3D à volta de uma estrutura de interesse, melhorando a orientação do procedimento mesmo em casos tecnicamente difíceis em que a lesão pode não ser visualmente óbvia ao nível de ultrassom. A lesão pode ser apresentada em 3D ou 2D através de uma modalidade complementar e sobreposta na ecografia ou TAC em tempo real, ajudando a visualizar a localização em relação às estruturas críticas circundantes.


Oferecer o único fluxo de trabalho de intervenção da indústria com navegação da agulha apenas para TAC num ecógrafo, a fusão de imagem e a navegação da agulha desbloqueiam a flexibilidade e abrem novas possibilidades ao tornar a fusão de imagem e a utilização de imagiologia por ecografia totalmente opcional. A localização da agulha em relação à TAC é acompanhada e atualizada em tempo real para visualização do procedimento, permitindo que os profissionais de saúde abordem casos e anatomias complexas, mesmo quando a imagiologia por ecografia não é possível. Tecnologia de acompanhamento contínuo do paciente. Assim que o passo de registo estiver concluído, o paciente pode mover-se, mudar de posição e o gerador de campo pode ser movido para dentro ou para fora do espaço do procedimento sem perder pontos de referência anatómicos ou diminuir a precisão do acompanhamento.
Fluxo de trabalho apenas de TAC
The EPIQ platform with fully integrated fusion capabilities that feature streamlined workflows to allow clinicians to achieve fast and effective fusion of CT/MR/PET with live ultrasound so you can make confident decisions even in challenging diagnostic cases.
Deixe que a Philips o ajude a aproveitar todo o potencial da ecografia numa vasta gama de áreas de cuidados clínicos com uma abrangente gama de produtos, serviços e conhecimentos orientados pelo desempenho.








You are about to visit a Philips global content page
Continue