
Não é segredo que a doença hepática é uma preocupação de saúde crescente.
Globalmente, a doença hepática é responsável por cerca de 2 milhões de mortes por ano, com cerca de 1 milhão devido a cirrose e 1 milhão devido a hepatite viral e carcinoma hepatocelular. Escolhas de vida nada saudáveis, como a obesidade, o álcool e o consumo de drogas são as causas principais da doença e, na maioria de casos, a doença hepática pode ser evitada1.
Há décadas que a biópsia hepática é o método convencional de avaliação de doenças e, mais recentemente, foi adicionada a MR-PDFF (MR Proton Density Fat Fraction – RM com fração de gordura de densidade de protões) para medir a gordura hepática. No entanto, este método apresenta várias barreiras para o paciente, incluindo dor da biópsia, acesso à RM, custo elevado e longos tempos de espera.
É aqui que a Philips entra em ação. Graças às inovações dos ecógrafos EPIQ e Affiniti da Philips, existe agora uma solução abrangente para suportar a avaliação, o tratamento e a monitorização da doença hepática, com quatro funcionalidades principais a funcionarem em conjunto numa única ferramenta eficaz.

com as ferramentas de quantificação de gordura hepática (LFQ) da Philips.

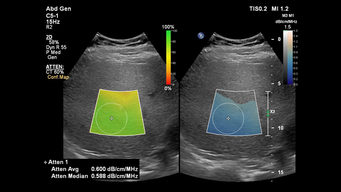
com ElastQ imaging.*

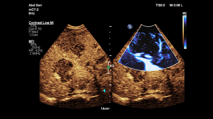
do exame com o transdutor C5-1 em comparação com os transdutores convencionais.
*A vista lado a lado de mapas únicos de confiança e rigidez das imagens ajuda a reduzir os passos do fluxo de trabalho e permite a correlação simultânea do mapa durante as fases de aquisição e medição.
A utilização generalizada desta tecnologia numa população geral poderá ser útil na despistagem da doença hepática crónica avançada, considerando especialmente que um estudo completo pode ser realizado em menos de três minutos utilizando um método não invasivo da doença hepática crónica."
Richard G. Barr, MD, PhD
Presidente, Radiology Consultant, Inc. (Youngstown, Ohio) Diretor Médico, Southwoods Imaging
Eleve a confiança no diagnóstico hepático com os mais recentes avanços na ecografia de imagiologia geral da Philips.

As normas atuais do diagnóstico e medição da doença hepática gorda não alcoólica (NAFLD) – biópsia hepática e RM – são impraticáveis por várias razões. A técnica emergente da imagiologia de atenuação com ecografia pode ser útil na despistagem da NAFLD. Um médico de referência explica como.
Com uma forte ligação à obesidade, estima-se que a
doença hepática gorda não alcoólica afete cerca de mil milhões de indivíduos no mundo inteiro. Saiba mais sobre a quantificação de gordura hepática (LFQ) neste documento técnico da Philips.
Agora que existe uma forma quantitativa de medir a gordura hepática, será muito mais fácil para nós deixarmos que o médico assistente determine onde o paciente se situa em termos quantitativos no espetro da NAFLD."
Dr. Richard G. Barr, Southwoods Imaging,
Youngstown, Ohio, EUA

O ElastQ proporciona uma avaliação em tempo real por ondas transversais 2D (2D-SWE) da rigidez dos tecidos não invasiva, reprodutível e fácil de realizar. O ElastQ também inclui a capacidade de efetuar medições retrospetivas em imagens armazenadas e inclui um mapa de confiança para a apresentação adequada da propagação por ondas transversais.
O ElastPQ é um método com quantificação pontual por ondas transversais (pSWE) para obtenção dos valores de rigidez dos tecidos do fígado. Utilizando a imagiologia em tempo real como guia, a ROI é colocada sobre a área de interesse e os dados da rigidez dos tecidos são adquiridos em segundos. Podem ser registadas e geradas várias amostras num relatório hepático.
A imagiologia de atenuação pode medir a quantidade de gordura presente no fígado ao calcular o coeficiente de atenuação do som absorvido pelo parênquima hepático. Este método proporciona parâmetros quantitativos de atenuação que podem ajudar os médicos na gestão de pacientes com esteatose hepática.
A tecnologia de imagens HRI compara a luminosidade relativa do parênquima hepático com os rins e fornece informações rápidas e quantificáveis sobre a esteatose hepática.
Imagiologia de atenuação

ElastQ imaging


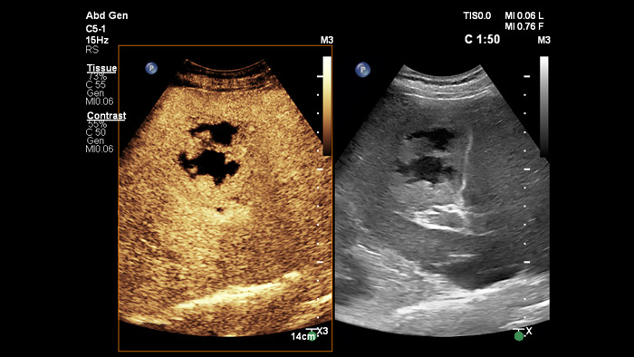
Os agentes de contraste de ultrassons podem transformar o papel da ecografia, permitindo que os médicos estudem os padrões de melhoria de lesões hepáticas em tempo real. Com os ecógrafos da Philips, a ecografia com realce por contraste está perfeitamente integrada no fluxo de trabalho padrão.




Tome decisões confiantes, mesmo em casos de diagnóstico tecnicamente difíceis, com as capacidades de fusão de imagens e navegação da agulha da Philips. O fluxo de trabalho otimizado permite aos médicos obter uma fusão rápida e eficaz de TAC/RM/PET com a ecografia em tempo real, enquanto a navegação da agulha ajuda a orientar a biópsia de lesões pequenas e de difícil acesso2.
Utilizando o contorno tumoral, os utilizadores podem planear e direcionar lesões com uma ferramenta semiautomatizada que ajuda a delinear um contorno 3D à volta de uma estrutura de interesse, melhorando potencialmente a orientação do procedimento com casos tecnicamente difíceis onde a lesão pode não ser facilmente visualizada.



As pessoas assumem muitas formas e tamanhos diferentes. Com a tecnologia de cristais PureWave, pode melhorar a penetração em tipos de corpos difíceis de examinar, mantendo simultaneamente a excelente resolução dos detalhes, sensibilidade Doppler e desempenho da ecografia com realce por contraste (CEUS).
A tecnologia de cristais PureWave é a maior inovação no material de transdutores piezoelétricos em 40 anos, sendo 85% mais eficiente do que os materiais piezoelétricos convencionais, o que resulta num desempenho excecional para todos os tipos de corpos dos pacientes.
A escolha de um novo sistema de ultrassom é uma questão de equilíbrio. Você precisa de informações precisas de diagnóstico rápido, uma interface de usuário intuitiva simplificada e fácil acesso aos recursos essenciais, juntamente com um design ergonómico e tecnologia de ponta.
1 Asrani et al, Burden of liver disease in the world. Journal ofhepatology, Vol 70, Issue 1, 2019.)
2 Kim E, Patel RS, Fischman AM, Nowakowski S, Lookstein RA. CT-Guided Liver Biopsy With Electromagnetic Tracking: Results From a Single-Center Prospective Randomized Controlled Trial. AJR 2014; 203:W715–W723)
Deixe que a Philips o ajude a aproveitar todo o potencial da ecografia numa vasta gama de áreas de cuidados clínicos com uma abrangente gama de produtos, serviços e conhecimentos orientados pelo desempenho.








You are about to visit a Philips global content page
Continue