
A imagiologia para partes moles é um dos segmentos de exames ecográficos de crescimento mais rápido para médicos em todo o mundo. A sua ampla variedade de aplicações inclui a avaliação de doenças e distúrbios de órgãos superficiais, como mama, testículos e tiroide, bem como a avaliação de lesões musculosqueléticas como entorses e rasgões, o que faz da ecografia das partes moles uma ferramenta vital para melhorar os cuidados de saúde prestados aos pacientes. Como líder em tecnologia de saúde, a Philips desenvolveu a primeira solução de ultrassons para a avaliação das partes moles, proporcionando uma funcionalidade tudo-em-um com imagens excecionais e ferramentas clínicas complementares. Quatro funcionalidades principais funcionam em conjunto para avaliar, monitorizar e tratar eficazmente as partes moles, ajudando os médicos a prestar cuidados de saúde excecionais aos pacientes.

O transdutor PureWave eL18-4 da Philips inclui matrizes de cristais multilinhas que proporcionam imagens de corte fino para uma excecional resolução dos detalhes, ao mesmo tempo que fornece imagens e penetração extraordinárias.
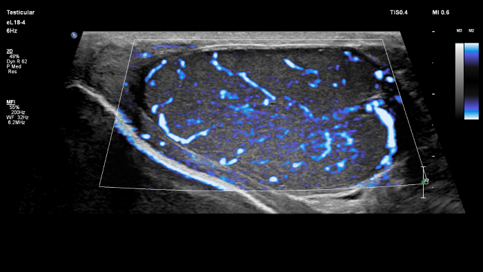
O MicroFlow Imaging ultrapassa muitas das barreiras associadas aos métodos convencionais para a deteção do fluxo sanguíneo de vasos pequenos com alta resolução e artefactos mínimos.
Incorporando tanto a elastografia de deformação em tempo real como a elastografia quantitativa por ondas transversais, o eL18-4 fornece um excelente desempenho de imagens e pode ajudar a fazer avançar a prática clínica.
Melhore a confiança clínica com o Verza Guidance System da CIVCO e a tecnologia de visualização da agulha durante os procedimentos intervencionistas.









Deixe que a Philips o ajude a aproveitar todo o potencial da ecografia numa vasta gama de áreas de cuidados clínicos com uma abrangente gama de produtos, serviços e conhecimentos orientados pelo desempenho.








You are about to visit a Philips global content page
Continue