
Preencha o formulário e entraremos em contacto consigo.



**Estudo clínico sobre o Doppler automático, dez. de 2011 ' Estudo sobre a temporização interna da Philips " Estudo de utilizadores externos sobre o EPIQ Elite baseado em 27 socorristas. Relatório do estudo disponível mediante pedido
Pessoalmente, encaro o novo XL14-3 como a ferramenta de imagiologia vascular mais poderosa desde a invenção da imagiologia Doppler a cores no início da década de 80. Cada aplicação de imagens que oferece proporciona novos benefícios de uma forma que nunca vi antes."*
Muhammad Hasan
MBBCH, RPVI, RVT, RDCS, RDMS Miami Cardiac & Vascular Institute, Baptist Health South Florida

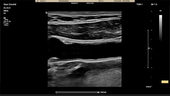
O transdutor XL14-3 xMATRIX incorpora uns 14 000 elementos incríveis, todos ligados a um microcanal separado. O transdutor XL14-3 possui focagem eletrónica multidimensional para a imagiologia de cortes ultrafinos da anatomia vascular e morfologia das placas.O principal benefício: excecional confiança no diagnóstico ao avaliar a estenose e placas vulneráveis.

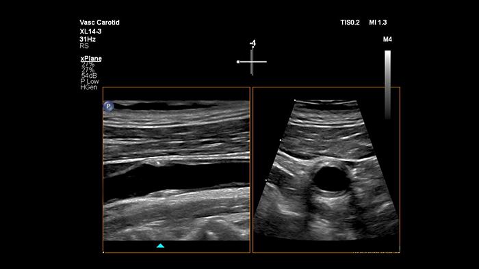
O transdutor XL14-3 xMATRIX fornece imagens xPlane que vão além da abordagem convencional aos exames vasculares ao oferecer imagens em tempo real nos planos tanto longitudinal como transversal simultaneamente. O principal benefício: as imagens xPlane eliminam a necessidade de rodar o transdutor para adquirir vistas ortogonais. Um simples movimento do trackball pode proporcionar uma avaliação anatómica completa, poupando tempo de exame.

O XL14-3 xMATRIX também oferece capacidades do Doppler xPlane. O Doppler pulsado xPlane permite a colocação precisa do volume da amostra Doppler utilizando imagens de referência tanto longitudinais como transversais. O principal benefício: o Doppler xPlane reduz os erros de colocação do volume da amostra e proporciona maior reprodutibilidade e consistência ao obter amostras de estenose significativa.





O XL14-3 xMATRIX também permite visualizar a anatomia em 3D/4D incríveis com um fluxo de trabalho guiado por ICON de fácil utilização. Os médicos conseguem olhar diretamente para um vaso para avaliarem a localização espacial e a composição das placas e ver os dados de fluxo 3D para avaliarem as condições estenóticas ou tortuosas.
A interface do utilizador 3D/4D também oferece a capacidade de gerar um molde do vaso utilizando dados do fluxo. A fundição de vasos 3D permite a visualização direta do fluxo para análise adicional da estenose ou condições tortuosas. O principal benefício: a visualização 4D/3D de alta qualidade da anatomia vascular proporciona uma ferramenta de comunicação ideal para facilitar as decisões clínicas entre os profissionais de saúde e melhorar a consulta com os pacientes para ajudá-los a compreender a sua condição.


O XL14-3 xMATRIX também permite visualizar a anatomia em 3D/4D incríveis com um fluxo de trabalho guiado por ICON de fácil utilização. Os médicos conseguem olhar diretamente para um vaso para avaliarem a localização espacial e a composição das placas e ver os dados de fluxo 3D para avaliarem as condições estenóticas ou tortuosas.

A interface do utilizador 3D/4D também oferece a capacidade de gerar um molde do vaso utilizando dados do fluxo. A fundição de vasos 3D permite a visualização direta do fluxo para análise adicional da estenose ou condições tortuosas. O principal benefício: a visualização 4D/3D de alta qualidade da anatomia vascular proporciona uma ferramenta de comunicação ideal para facilitar as decisões clínicas entre os profissionais de saúde e melhorar a consulta com os pacientes para ajudá-los a compreender a sua condição.




O processamento de imagens da Philips da nova geração eleva a imagem vascular a novos níveis, proporcionando uma delineação soberba de interfaces de vasos e uma melhor conspicuidade de textura de placas. Ao reduzir os artefactos e o "nevoeiro" dos vasos, o XPRES Pro aumenta a confiança no diagnóstico durante a imagem vascular dos pacientes, incluindo os que são tecnicamente difíceis.




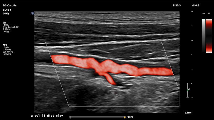
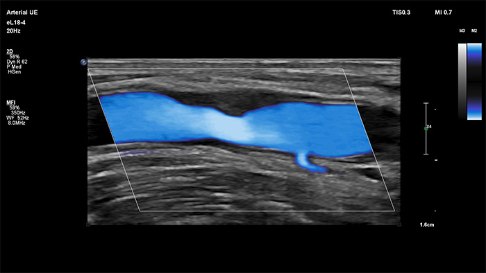
O MicroFlow Imaging da Philips foi concebido para detetar fluxo sanguíneo lento e fraco nas estruturas anatómicas do tecido com uma sensibilidade notável e melhorar a resolução do fluxo em exames vasculares. Com alta resolução e artefactos mínimos, os médicos podem visualizar e caracterizar perturbações subtis do fluxo à volta da placa estenótica para fazer diagnósticos confiantes.






As pessoas assumem muitas formas e tamanhos diferentes. Com a tecnologia de cristais PureWave, pode melhorar a penetração em tipos de corpos difíceis de examinar, mantendo simultaneamente a excelente resolução dos detalhes, sensibilidade Doppler e desempenho da ecografia com realce por contraste (CEUS).
A tecnologia de cristais PureWave é a maior inovação no material de transdutores piezoelétricos em 40 anos, sendo 85% mais eficiente do que os materiais piezoelétricos convencionais, o que resulta num desempenho excecional para todos os tipos de corpos dos pacientes.
The eL18-4 transducer is an ultra high-frequency linear transducer that incorporates ultra-broadband PureWave crystal technology with fine-elevation focusing capability, generating ultra-broadband frequencies from 2 to 22 MHz. The transducer’s advanced design allows for wide field-of-view trapezoid imaging and superb 2D detail resolution. It supports a broad range of high resolution applications including breast, small parts, vascular, pediatric and musculoskeletal imaging along with the penetration needed in obstetrical and gynecological examinations to help elevate clinical confidence.
The Philips eL18-4 EMT transducer, has a built-in electromagnetic tracking (EMT) coil that allows tracking of the transducer in space used for Fusion and Navigation or for the Philips Anatomical Intelligence for Breast (AI Breast) software feature. For AI Breast the integrated EM tracking coil in conjunction with a speciality mattress and tabletop field generator is used for used for breast screening exams while preserving superb image quality for full diagnostic studies. Learn more about the eL18-4 EMT ultra-broadband linear array transducer in the specification table below.
Learn more about the Philips L12-5 50 mm linear array transducer in the specification table below.
Learn more about the Philips D5cwc Doppler imaging transducer in the specification table below.
The Philips L12-3 ERGO transducer is designed to increase comfort while scanning, specifically for longer periods of use. It includes a new ergonomic form factor and is lighter than the L12-3. The changes made to the transducer include, increased texture on the handle, more pronounced ledge, flatter housing at the nose and ruler lines at the top. Learn more about the L12-3 ERGO broadband linear array transducer in the specification table below.
Learn more about the Philips L12-3 broadband linear array transducer in the specification table below.
Learn more about the Philips D2tcd Doppler imaging transducer in the specification table below.
Learn more about the Philips L18-5 broadband linear array transducer in the specification table below.
Learn more about the Philips L15-7io broadband compact linear array transducer in the specification table below.
A escolha de um novo sistema de ultrassom é uma questão de equilíbrio. Você precisa de informações precisas de diagnóstico rápido, uma interface de usuário intuitiva simplificada e fácil acesso aos recursos essenciais, juntamente com um design ergonómico e tecnologia de ponta.
Deixe que a Philips o ajude a aproveitar todo o potencial da ecografia numa vasta gama de áreas de cuidados clínicos com uma abrangente gama de produtos, serviços e conhecimentos orientados pelo desempenho.








You are about to visit a Philips global content page
Continue