Para permitir que as equipas cirúrgicas se concentrem no tratamento dos pacientes, mantemos uma orientação de imagem avançada tão fácil e eficaz quanto possível. A flexibilidade ilimitada do sistema permite que trabalhe da sua forma preferida com posicionamento livre na extremidade da cabeça. As nossas ferramentas neurológicas dedicadas dão-lhe o controlo durante cada passo do procedimento, à medida que decide, orienta, trata e confirma os resultados.
A terapia guiada por imagens da Philips oferece o conjunto Neurovascular com uma gama de produtos flexível de tecnologias, serviços e acessórios de neuro integrados que permitem ao utilizador estar em controlo.
Saiba maisSoluções para procedimentos de coluna vertebral que oferecem orientação de imagem avançada em tempo real com excecional flexibilidade de fluxo de trabalho para a sala de operações híbrida, que permite executar procedimentos rápidos, precisos e simplificados. Estas soluções são oferecidas pela terapia guiada por imagens da Philips.
Saiba mais
Esta técnica de aquisição de raios X gera uma visualização 3D completa de alta resolução do sistema vascular cerebral, cardíaco, abdominal ou periférico a partir de um único processamento de angiografia rotacional – tudo controlado através do ecrã tátil na mesa. Isto pode melhorar a visibilidade de anatomia tortuosa ou complexa que pode não ser vista numa imagem 2D ou DSA.

O SmartCT Soft Tissue oferece uma técnica de aquisição de TC de feixe cónico (CBCT) aumentada com orientação passo a passo. É possível aceder às ferramentas avançadas de medição e visualização 3D através do módulo de ecrã tátil junto à mesa. O utilizador é orientado através de passos-chave para adquirir imagens CBCT corretamente à primeira1 e para simplificar o seu fluxo de trabalho.

O SmartCT Vaso permite imagens de alto contraste e alta resolução do sistema vascular cerebral com base num exame rotacional 3D e numa injeção de contraste intra-arterial. Esta técnica melhora a visualização de stents endovasculares, flow diverters ou outros dispositivos, bem como da morfologia do vaso até ao nível do perfurador.

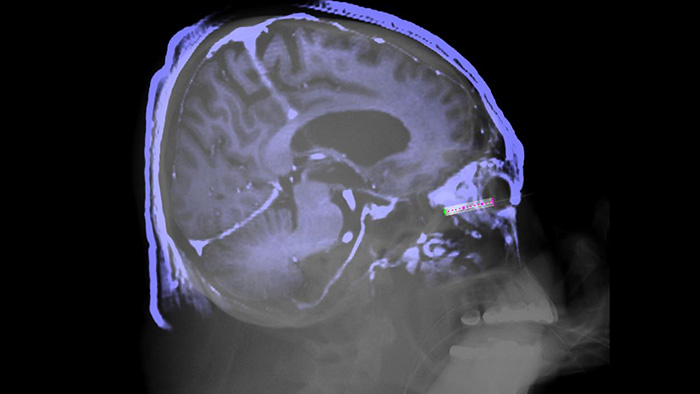
O XperGuide oferece orientação da agulha em imagens 3D em tempo real, permitindo-lhe introduzir procedimentos de agulha percutâneos na sala de operações híbrida. Sobrepõe dados de imagens de tecidos moles 3D e fluoroscopia em tempo real de exames de TC ou RM adquiridos anteriormente ou Philips XperCT, fornecendo informações sobre o caminho e o alvo da agulha.

O SmartCT Roadmap facilita intervenções complexas fornecendo orientação de imagem 3D em tempo real que pode ser segmentada para enfatizar lesões e vasos alvo, auxiliando a navegação através de estruturas de vasos complexas. Tudo isto é controlado através do ecrã tátil na mesa.

O SmartPerfusion é um software de análise de imagens que fornece informações funcionais sobre a perfusão do tecido com base em angiografia digital (DSA).
Precisa de imagens numa sala de operações comum? Com as soluções de arcos em C móveis da Philips, pode obter imagens nítidas e detalhadas de forma rápida e fácil, para apoiar decisões informadas durante procedimentos de ortopedia, gestão da dor, vasculares e cirúrgicos na sala de operações.
Isenção de responsabilidade A disponibilidade do produto está sujeita a autorização regulamentar do país. Contacte o seu representante de vendas local para verificar a disponibilidade no seu país. Referências
You are about to visit a Philips global content page
Continue