As intervenções cardíacas estruturais minimamente invasivas estão a mudar o cenário terapêutico. As exigências dos procedimentos valvulares transcateter e outros procedimentos cardíacos estruturais requerem um ambiente totalmente integrado e preparado para o futuro, fornecendo a imagem e a informação certas certa no momento certo. A nossa gama de produtos SHD foi concebida para permitir que as equipas de cardiologia aumentem o seu programa e impulsionem as futuras inovações de intervenções transcateter através da flexibilidade do fluxo de trabalho e da integração multimodal da imagem. Isto melhora a comunicação e a eficiência, e proporciona confiança na orientação anatómica, na navegação e na colocação precisa do dispositivo.

Melhorar o desempenho do laboratório mantendo a concentração no paciente
O conjunto Azurion SHD foi concebido para se adaptar às suas necessidades de fluxo de trabalho, permitindo que o sistema trabalhe sem problemas à sua volta, para que possa concentrar-se no paciente.
A utilização de Cartões de procedimento, o controlo da sala na ponta dos seus dedos com flexibilidade ilimitada e a criação de uma fusão em tempo real de dados de imagem críticos melhora a eficiência do laboratório e aumenta a confiança em cada passo do tratamento.
No centro do nosso conjunto, a solução exclusiva EchoNavigator é o exemplo emblemático do compromisso da Philips com a integração de múltiplas modalidades e fluxos de trabalho, ao trazer o melhor dos dois mundos do líder da indústria em soluções cardíacas de ultrassom e raios X de intervenção.
A jornada de um paciente com TAVI com o IntelliSpace CardioVascular
Testemunho de um cliente do Hackensack University Medical Center
Não teríamos conseguido desenvolver alguns destes procedimentos, se não soubéssemos que tínhamos capacidades de imagem de ponta."
Dr. Adam Greenbaum
MD, FACC, FSCAI Co-Diretor do Centro de Doenças Cardíacas Estruturais, Henry Ford Hospital, Detroit, Michigan, EUA
O sistema move-se à nossa volta, em vez de termos de ser nós a deslocar-nos à volta do sistema."
Dr. Carlos E. Ruiz
M.D., Ph.D., FACC, FESC, Diretor MSCAI, Centro de Cardiologia Estrutural e Congénita, Centro Médico da Universidade de Hackensack e Hospital Pediátrico Joseph M. Sanzari, Professor de Medicina e Cardiologia Pediátrica

Sobreposição ETE 3D em tempo real da implantação de oclusão de LAA com EchoNavigator

Segmentação do modelo 3D EchoNavigator

Dimensionamento de TAVI totalmente automatizado com HeartNavigator

Visualização da reparação mitral da regurgitação pós-implante

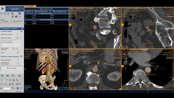
Avaliação do percurso de acesso automatizado Intellispace Cardiovascular

TrueVue da renderização de zoom 3D para LAA com visualização MultiVue

Orientação de punção transeptal com EchoNavigator

Otimização da vista da válvula mitral com modelos cardíacos EchoNavigator
Otimização da vista da válvula tricúspide com modelos cardíacos EchoNavigator

Visualização TrueVue de reparação mitral de limite a limite

Visualização das válvulas mitral e aórtica com modelos cardíacos EchoNavigator
Soluções para procedimentos TAVR e TAVI oferecidos pela terapia guiada por imagens da Philips.
Saiba maisSoluções para intervenções na válvula mitral oferecidas pela terapia guiada por imagens da Philips.
Saiba maisSoluções para procedimentos de oclusão do apêndice atrial esquerdo (LAAO) oferecidos pela terapia guiada por imagens da Philips.
Saiba maisPreencha o formulário e entraremos em contacto consigo.
You are about to visit a Philips global content page
Continue