
A heterogeneidade da lesão e a falta de visibilidade limitam a qualidade das amostras, bem como a viabilidade das biopsias quando realizadas sob ultrassom ou TC convencional. Com a adoção crescente de programas de rastreio no pulmão, os cancros do pulmão precoces que se manifestam como pequenos nódulos foram detetados mais frequentemente do que nunca. Observou-se que 14,5% de uma população rastreada tem nódulos ≤10 mm.1-2 A nossa tecnologia de navegação da agulha com CBCT aumenta a precisão e permite a segmentação de lesões menores (<=1 cm) ou heterogéneas de forma mais precisa, com menor reposicionamento da agulha e com uma dose inferior à de TC convencional.1-2
em comparação com TC convencional1
Menor reposicionamento da agulha em comparação com TC convencional 1
dose da pele mais baixa em comparação com TC convencional 1


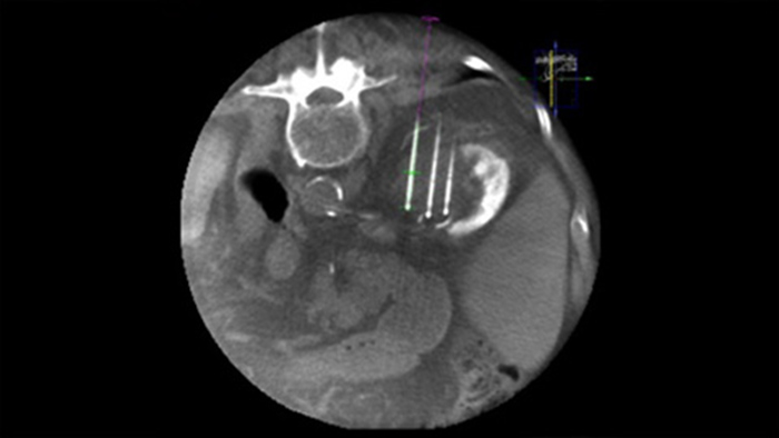
A ablação percutânea (radiofrequência, micro-ondas e crioablação) é um tratamento minimamente invasivo e bem estabelecido dos tumores renais, hepáticos, pulmonares e ósseos. É fundamental definir os limites do tumor e decidir sobre um número ideal de agulhas e a trajetória da agulha correspondente para poder realizar um tratamento tumoral completo e não causar danos no tecido circundante. Navegar com precisão a uma dose baixa para a lesão de interesse sem reposicionamento da agulha aumenta a oportunidade de sucesso e reduz o risco de complicações das biopsias ou ablações. A confirmação do ponto final do tratamento de ablação pode ser realizada com imagens 3D enquanto o paciente ainda está na mesa.

O SmartCT SoftTissue oferece uma técnica de aquisição de TT de feixe cónico (CBCT) aumentada com orientação passo a passo, visualização 3D avançada e ferramentas de medição, tudo isto acessível no módulo de ecrã tátil ao lado da mesa.

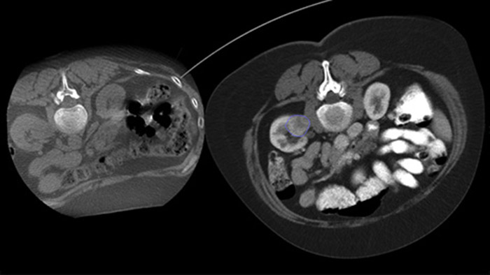
A vista dupla permite a sobreposição de uma imagem 3D pré-procedimento (TC/RM/PET-CT) numa CBCT 3D dual intra-procedimento para melhor visualização das lesões e acesso à entrada crítica para o planeamento da agulha.

O XperGuide fornece uma orientação de imagem em tempo real altamente precisa de cada agulha para uma posição alvo, sobrepondo trajetórias pré-planeadas com imagiologia fluoroscópica.3

Com a CBCT, adquira uma CBCT pós-ablação para demonstrar a extensão da cobertura tumoral e confirmar a integralidade do tratamento.
Soluções para uma orientação eficaz no tratamento e na tomada de decisões para a embolização tumoral oferecidas pela terapia guiada por imagens da Philips.
Clique aqui para ler mais Isenção de responsabilidade A disponibilidade do produto está sujeita a autorização regulamentar do país. Contacte o seu representante de vendas local para verificar a disponibilidade no seu país. Referências * XperGuide Ablation é uma funcionalidade opcional do XperGuide
You are about to visit a Philips global content page
Continue