A sua capacidade de visualizar as patologias extremamente complexas das malformações arteriovenosas (AVM), fístulas e outras malformações é crucial para decidir se deve tratar ou monitorizar um paciente. Há décadas que os especialistas em neurologia confiam nas soluções sofisticadas de imagens neurológicas da Philips para apoiar decisões de planeamento e tratamento fiáveis para intervenções de AVM. Atualmente, à medida que a área se desloca para a monitorização médica de AVM intactas, as ferramentas que oferecemos podem, mais uma vez, ajudar a fazer a diferença na vida dos seus pacientes.

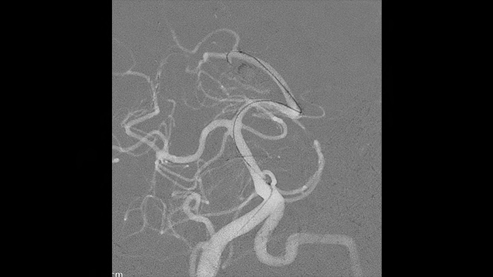
O SmartCT Angio proporciona uma visão volumétrica em poucos segundos2 para auxiliar na avaliação de artérias de alimentação, veias de drenagem, veias arterializadas, nichos e patologia intacta ou não intacta para orientar a tomada de decisões. Os volumes 3D são visualizados com alta resolução espacial e compensação automática do movimento do paciente para melhorar a visibilidade dos detalhes críticos.

A capacidade de visualizar a anatomia vascular de tamanho submilimétrico melhora a possibilidade de sucesso do tratamento e aumenta a confiança no mesmo. O SmartCT Vaso fornece imagens 3D de alta resolução que revelam informações importantes sobre as estruturas vasculares cerebrais para suportar a maior avaliação espacial possível dos vasos no contexto do tecido mole.

O SmartCT Roadmap fornece uma sobreposição de imagens 3D em tempo real que pode ser segmentada para enfatizar o vaso alvo e as lesões, apoiando a navegação rápida do cateter. O SmartCT Roadmap sobrepõe uma reconstrução 3D da árvore vascular, dos segmentos do vaso ou das anotações com fluoroscopia em tempo real.

Quando monitoriza AVM ao longo do tempo, os artefactos de subtração podem disfarçar informações clínicas. A exclusiva deslocação automática de pixeis ClarityIQ da Philips ajuda a remover informações que podem ser enganosas, em tempo real e sem interação do utilizador.

Durante o tratamento, os artefactos de subtração podem obscurecer a direção de deslocação dos agentes embólicos líquidos. O uso da deslocação automática de pixeis no nosso ClarityIQ permite visualizar a direção de deslocação do agente embólico líquido e a respetiva chegada.

O modo Roadmap Pro Glue filtra os vasos já embolizados, permitindo-lhe concentrar-se no que está a injetar e na forma como está a difundir.

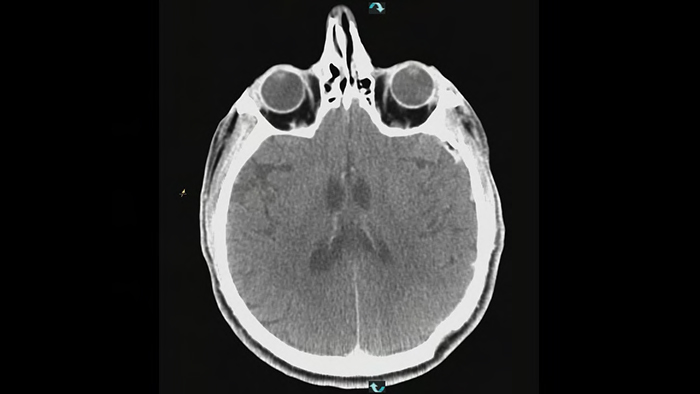
O SmartCT Soft Tissue é uma técnica de aquisição que gera uma visualização tipo TC do tecido mole em relação a outras estruturas durante os procedimentos. Pode utilizar as imagens tipo TC para avaliar o tecido mole após uma AVM para verificar o resultado final e possíveis hemorragias quando o paciente ainda se encontra na mesa.
O Azurion oferece várias inovações de fluxo de trabalho concebidas para ajudar a equipa a trabalhar de forma eficiente e fácil, mantendo simultaneamente o foco no paciente e gerindo a dose de radiação durante intervenções de AVM.


A tecnologia ClarityIQ reduz a dose do paciente em 75% em DSA Neuro3, ao mesmo tempo que mantém uma qualidade de imagem equivalente, em comparação com um sistema sem ClarityIQ. A sua compensação automática do movimento remove os artefactos do crânio e do movimento que são fundamentais ao colocar pequenos dispositivos na base do crânio.
O posicionamento de dose zero ajuda a reduzir a dose, permitindo-lhe deslocar a mesa, alterar a altura da mesa ou mover o sistema de raios X na última imagem adquirida para determinar a nova posição central. Isso ajuda a preparar o próximo procedimento sem usar fluoroscopia.
Proporciona acesso direto e controlo total de exames de diagnóstico pré-operatórios, informações do paciente e ferramentas de planeamento junto à mesa para poupar tempo e deslocações desnecessárias para dentro e fora da área estéril.

Os Cartões de procedimento simplificam e padronizam a configuração do sistema e ajudam a reduzir os erros de preparação. Selecione o cartão de procedimento AVM e o sistema é configurado da forma pretendida. Os protocolos de aneurisma e/ou listas de verificação específicos do hospital podem ser adicionados aos cartões de procedimento e apresentados em monitores. Um hospital reduziu o tempo de preparação no laboratório com a ajuda dos cartões de procedimento.4

Pode ser usado para restringir o movimento de pacientes agitados sob sedação consciente a fim de ajudar a reduzir artefactos causados pelos movimentos durante o procedimento.
Esteja a postos para enfrentar novos desafios no tratamento de acidentes vasculares cerebrais isquémicos.
Saiba maisVeja claramente e navegue eficientemente ao tratar aneurismas cerebrais.
Saiba mais Isenção de responsabilidade A disponibilidade do produto está sujeita a autorização regulamentar do país. Contacte o seu representante de vendas local para verificar a disponibilidade no seu país. Referências
You are about to visit a Philips global content page
Continue