
Apoio para a cabeça Neuro
Pode ser utilizado para ajudar a reduzir artefactos de movimento durante o procedimento.
A visualização de dispositivos novos e menos opacos apresenta novos desafios durante o planeamento do tratamento e a colocação do dispositivo, o que pode aumentar o tempo de procedimento. Isto torna a soberba imagiologia 2D e 3D mais importante do que nunca para orientar as decisões de tratamento e a colocação do dispositivo e gerir de forma eficiente a dose de radiação.

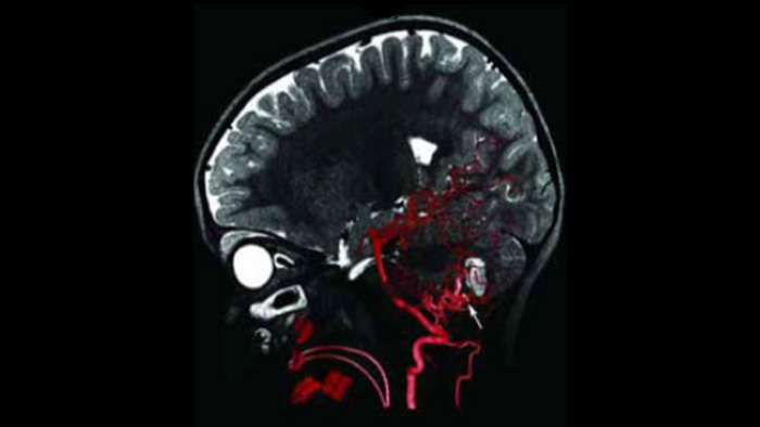
O SmartCT Angio é uma técnica de aquisição de raios X que gera uma visualização 3D completa de alta resolução do sistema vascular cerebral a partir de um único processamento de angiografia rotacional, tudo controlado através do ecrã tátil na mesa. Isto pode melhorar a visibilidade de anatomia tortuosa ou complexa que pode não ser vista numa imagem 2D ou DSA.


O MR-CT Roadmap oferece a possibilidade de sobrepor um exame de SmartCT Angio ou Angio de RM previamente adquirido com fluoroscopia em tempo real para visualizar os limites da lesão e a vascularização correspondente para avaliação de risco. A reutilização de dados pré-adquiridos ajuda-o a gerir a dose de raios X e o meio de contraste.

Melhorar a visualização de stents endovasculares, flow diverters e outros dispositivos, bem como a morfologia do vaso até o nível de perfurador com SmartCT Vaso. Esta técnica de aquisição baseia-se num exame de TC de feixe cónico e numa injeção de contraste intra-arterial. É cada vez mais utilizada para o acompanhamento de aneurismas tratados com stents de flow diverter para verificar o posicionamento do dispositivo.

O SmartCT Roadmap melhora a visualização de vasos sobrepostos para suportar uma navegação precisa do fio-guia e do cateter através do sistema vascular complexo. Oferece uma precisão de alto nível com compensação em tempo real para pequenos movimentos da gantry, da mesa e dos pacientes.

O Roadmap Pro é um mapa avançado de duplo contraste que ajuda a melhorar a visibilidade dos vasos sobrepostos enquanto equilibra a exposição às radiações. Pode ser personalizado para mostrar o avanço durante a colocação da bobina.

O SmartCT Angio proporciona uma vista volumétrica em alguns segundos1 para auxiliar na avaliação da localização, tamanho, pescoço e gravidade do aneurisma para planeamento do tratamento. Os volumes 3D são visualizados com alta resolução espacial e compensação automática do movimento do paciente.

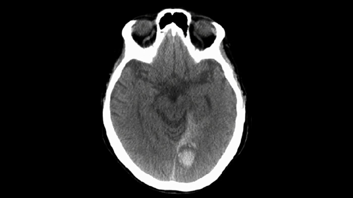
Utilize a imagiologia de SmartCT Soft Tissue no conjunto Neurovascular para verificar o sucesso do tratamento e identificar hemorragias.
O Azurion oferece várias inovações de fluxo de trabalho concebidas para ajudar a equipa a trabalhar de forma eficiente e fácil, mantendo simultaneamente o foco no paciente e na gestão da dose de radiação.


Pode ser utilizado para ajudar a reduzir artefactos de movimento durante o procedimento.
You are about to visit a Philips global content page
Continue
O FlexVision Pro proporciona o controlo total de todas as aplicações ligadas, como o ultrassom CX50x Matrix e todas as ferramentas de intervenção junto à mesa, para poupar tempo e deslocações desnecessárias para dentro e fora da área estéril.
You are about to visit a Philips global content page
Continue
Ajuda a reduzir a dose, posicionando o sistema ou a mesa em Última imagem adquirida para que possa preparar a próxima série sem utilizar fluoroscopia.
You are about to visit a Philips global content page
Continue * Söderman M, Holmin S, Andersson T, Palmgren C, Babic D, Hoornaert B. Image noise reduction algorithm for digital subtraction angiography: clinical results. Radiology. 2013 Nov;269(2):553-60. Os resultados da aplicação de técnicas de redução da dose variam consoante a tarefa clínica, o tamanho do paciente, a localização anatómica e a prática clínica. O radiologista de intervenção assistido por um médico, conforme necessário, tem de determinar as definições adequadas para cada tarefa clínica específica. Resultados baseados no produto dose-área DSA por fotograma de um único estudo prospetivo randomizado em 20 pacientes. Os processamentos DSA para Allura Xper com ClarityIQ e Allura Xper sem ClarityIQ foram adquiridos no canal frontal e lateral do mesmo paciente sob a mesma condição de geometria, campo de visão e protocolo de injeção. A qualidade da imagem foi baseada na avaliação subjetiva (pontuação 1-5, 1=muito pobre, 5=excelente, revisão cega efetuada por 3 radiologistas envolvidos no estudo).
A tecnologia ClarityIQ reduz a dose do paciente em 75% em DSA Neuro*, ao mesmo tempo que mantém uma qualidade de imagem equivalente, em comparação com um sistema sem ClarityIQ para suportar uma população de pacientes mais ampla. A sua compensação automática do movimento remove os artefactos causados pelos movimentos e do crânio que são fundamentais ao colocar pequenos dispositivos na base do crânio.
You are about to visit a Philips global content page
Continue
Proporciona acesso direto e controlo total de exames de diagnóstico pré-operatórios, informações sobre o paciente e ferramentas de planeamento junto à mesa para poupar tempo e evitar deslocações desnecessárias para dentro e para fora da área estéril. O TSM Pro permite o controlo junto à mesa de imagens e aplicações.
You are about to visit a Philips global content page
Continue
A tecnologia ClarityIQ reduz a dose do paciente em 75% em DSA Neuro2, ao mesmo tempo que mantém uma qualidade de imagem equivalente, em comparação com um sistema sem ClarityIQ. A sua compensação automática do movimento remove os artefactos do crânio e do movimento que são fundamentais ao colocar pequenos dispositivos na base do crânio.
O posicionamento de dose zero ajuda a reduzir a dose, permitindo-lhe deslocar a mesa, alterar a altura da mesa ou mover o sistema de raios X na última imagem adquirida para determinar a nova posição central. Isso ajuda a preparar o próximo procedimento sem usar fluoroscopia.
Proporciona acesso direto e controlo total de exames de diagnóstico pré-operatórios, informações do paciente e ferramentas de planeamento junto à mesa para poupar tempo e deslocações desnecessárias para dentro e fora da área estéril.

Os Cartões de procedimento3 simplificam e padronizam a configuração do sistema e ajudam a reduzir os erros de preparação. Selecione o Cartão de procedimento Aneurisma e o sistema é configurado da forma que pretende.

Pode ser usado para restringir o movimento de pacientes agitados sob sedação consciente a fim de ajudar a reduzir artefactos causados pelos movimentos durante o procedimento.
Esteja a postos para enfrentar novos desafios no tratamento de acidentes vasculares cerebrais isquémicos.
Saiba maisAs sofisticadas soluções de imagens neurovasculares da Philips suportam o planeamento, a monitorização médica e as decisões de tratamento com confiança para intervenções de AVM.
Saiba mais Isenção de responsabilidade A disponibilidade do produto está sujeita a autorização regulamentar do país. Contacte o seu representante de vendas local para verificar a disponibilidade no seu país. Referências
You are about to visit a Philips global content page
Continue